「よく噛める入れ歯」で人生が変わる?
~自費の入れ歯という選択肢~
こんにちは、医療法人社団秀祐会 大竹歯科です!
「入れ歯が合わなくて、痛い」「食事が楽しめない」「人前で外れるのが怖い」――
そんなお悩みを抱えていませんか?
保険の入れ歯を使っている方の中には「合わないけど、仕方ない」とあきらめている方も多いかもしれません。
でも、入れ歯は“我慢して使うもの”ではありません。
実は最近では、「自費の入れ歯(保険外の入れ歯)」を選ばれる高齢の患者さんが増えています。
今回は、自費の入れ歯にはどんな特徴があり、なぜ選ばれているのかをご紹介します。
自費の入れ歯と保険の入れ歯、何が違うの?
入れ歯には大きく分けて「保険診療の入れ歯」と「自費診療の入れ歯」があります。
それぞれの違いを簡単に比べてみましょう:
| 項目 | 保険の入れ歯 | 自費の入れ歯 |
| 材料 | レジン(プラスチック) | 金属・高品質樹脂など多種 |
| 見た目 | 人工的・やや目立つ | より自然・目立ちにくい |
| 装着感 | 厚みがあり違和感があることも | 薄くて軽く、快適 |
| 安定性 | 噛みにくい・外れやすいことも | よく噛めてズレにくい |
| 調整の幅 | 制限あり(基本的には月に1回 | オーダーメイド対応可能 |
| 費用 | 保険適用 | 自費(数十万円~) |
保険の入れ歯は「最低限の機能を満たす」ことが目的。
一方で、自費の入れ歯は「より快適で、見た目にも自然」であることを追求できます。
「高いけど価値がある」と言われる理由
自費の入れ歯は確かに保険のものより費用がかかります。ですが、選ばれた方からはこんなお声をいただきます:
- 「ごはんを美味しく食べられるようになった」
- 「友人との外食が楽しみになった」
- 「しゃべるときに外れる心配がなくなった」
- 「見た目が自然で、自信を持って笑えるようになった」
つまり、“歯を失った不安や不便”を解消してくれる治療なんです。
私たちは、入れ歯を「体の一部」として長く使っていただくものだと考えています。
だからこそ、自分に合った入れ歯を選ぶことは、生活の質(QOL)を大きく左右する大切な選択です。
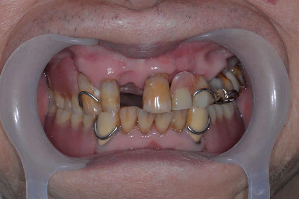
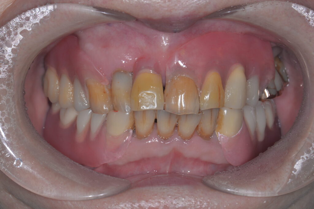
自費入れ歯にもいろいろな種類があります
自費の入れ歯といっても、すべてが高額で高級というわけではありません。
● 金属床義歯(きんぞくしょうぎし)
土台に金属を使用することで、薄くて強度があり、熱も伝わりやすく食事が美味しいと評判です。
● ノンクラスプデンチャー
金属のバネがないため、見た目が自然。入れ歯だと気づかれにくいのが特徴。
ご予算やお口の状態に合わせて、いろいろな選択肢をご提案できます。
「高齢だから」こそ、自分に合った入れ歯を
「もう年だから…」とあきらめていませんか?
実は、高齢の方にこそ、自費の入れ歯がメリットになるケースが多いんです。
- 柔らかいものしか食べられず、栄養バランスが偏る
- 外食や会話を避けるようになり、社会との関わりが減る
- 入れ歯の痛みや不安で気持ちがふさぎがちになる
こうした問題は、「合う入れ歯」に出会うことで大きく改善されることがあります。
そして、よく噛めることで、認知症や誤嚥性肺炎のリスクを減らすとも言われています。
当院には日本顎咬合学会噛み合わせ認定医が所属しております
入れ歯は材質はもちろんですが、噛み合わせの考え方や型取りの方法、また、作る技工士さんにも大きく依存することが多いです。
ゴシックアーチという顎の位置を測定する方法や、フェイスボウトランスファーなど入れ歯作りには重要な工程がたくさん存在しております。
また、当院では正中矢状面(体の真ん中)を基準としたSHILLA SYSTEMを導入しております。
当院には噛み合わせ認定医がおり、また、入れ歯も入れ歯専門の技工士さんに作成してもらっているので、適合の良い、使いやすい入れ歯を作成することが可能となっております。


まずはお気軽にご相談ください
自費の入れ歯は、決して「贅沢な治療」ではありません。
**「しっかり噛んで、美味しく食べて、笑って過ごす」**という、当たり前の生活を支える治療です。
当院では、ご希望やご予算を伺ったうえで、無理のない選択肢をご提案いたします。
「今の入れ歯が合わない」
「もっと快適に過ごしたい」
「見た目が気になる」
そんな方は、ぜひ一度ご相談ください。
あなただけの“快適な入れ歯”を、一緒に見つけましょう!